Disable Preloader

Clínica de la mujer

Ecografías

Ecografías

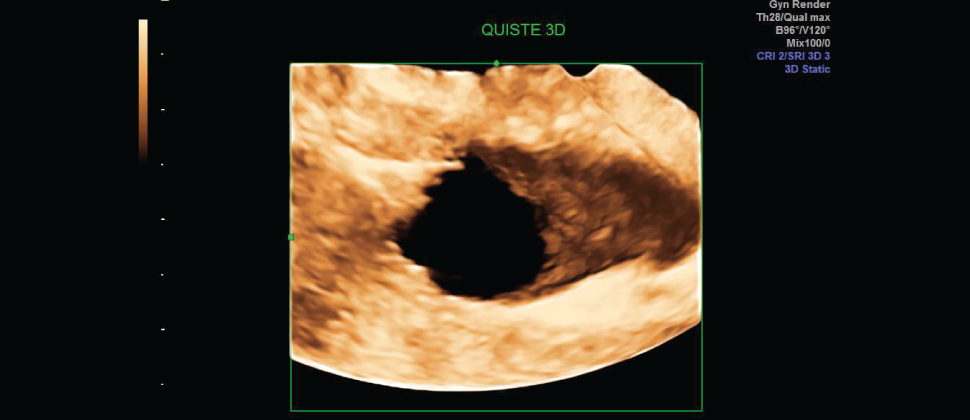
Para mejorar el diagnóstico de cada paciente ocupamos la mejor tecnología en ecografías como Foliculograma en volumen 3D, que muestra un volumen tridimensional de cada uno de los folículos en un ovario estimulado, con recuento de volumen y dimensiones en forma automática.

Ecografías
Ecografías

En EDE Satélite contamos con:

Ecografía Vaginal

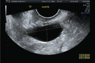
Ecografía Vaginal, este es un examen de diagnóstico, donde se obtienen imágenes de los órganos internos como: útero, trompas de falopio, ovarios, cuello del útero y vagina. En este estudio se puede detectar:

  • Cáncer en los órganos reproductivos.
  • Quistes y fibromas
  • Infecciones
  • Aborto involuntario
  • Placenta previa (una placenta baja durante el embarazo que pueden justificar una intervención médica)
  • Defectos fetales de nacimiento (en caso de estar embarazada)

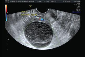
Ecografía Pélvica

Es un procedimiento no invasivo (no se perfora la piel) que se utiliza para evaluar los órganos y las estructuras dentro de la pelvis femenina. La ecografía pélvica permite una rápida visualización de los órganos y las estructuras pélvicas femeninas, que incluyen el útero, el cuello uterino, la vagina, las trompas de Falopio y los ovarios. La ecografía Doppler también puede mostrar el flujo sanguíneo en determinados órganos pélvicos.

La ecografía pélvica puede proporcionar mucha información sobre el tamaño, la ubicación y la estructura de las masas pélvicas, pero no puede brindar un diagnóstico definitivo del cáncer ni de una determinada enfermedad.