En EDE Satélite también contamos con ecografías:


Esta ecografía permite saber la cantidad de sangre que se bombea con cada latido, lo cual es fundamental para determinar el buen funcionamiento de su corazón, así como para analizar las válvulas cardíacas y las paredes del corazón.
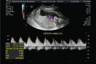
¿Para qué sirve el USG Doppler Color?
Permite evaluar y medir el flujo sanguíneo de las válvulas y las cavidades del corazón del bebé, de esta manera, se puede determinar si su corazón está funcionando correctamente.
Se pueden analizar las arterias del útero de la madre (arterias uterinas). Esto es muy importante en el caso que la madre presente hipertensión en el embarazo o en el caso de que haya un retraso del crecimiento intrauterino del bebé para poder determinar las causas y actuar según las mismas.
Permite ver el flujo sanguíneo de las arterias umbilicales del feto, de esta manera se puede saber si el flujo sanguíneo que llega al bebé es correcto, y por lo tanto también si lo son los nutrientes y el oxígeno que recibe el feto.
Permite ver el flujo sanguíneo de las arterias cerebrales del feto, de esta manera se puede saber el grado de progresión de un problema de crecimiento fetal.