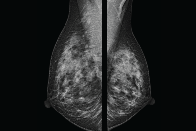
La mastografía es una radiografía especial de las glándulas mamarias cuyo objetivo principal es detectar el cáncer temprano de la mama.
Se realiza con equipo y películas radiográficas diseñados exclusivamente para este propósito.
Se pueden tomar al menos dos radiografías de cada seno desde las posiciones superior y lateral para producir las placas a fin de que el médico las revise.


Se realiza con equipo y películas radiográficas diseñados exclusivamente para este propósito.
Se pueden tomar al menos dos radiografías de cada seno desde las posiciones superior y lateral para producir las placas a fin de que el médico las revise.
¿En qué consiste?
El seno se colocará entre las dos placas de la unidad de mastografía y se aplicará presión para comprimir el tejido que a veces llega a causar molestia pero es necesario para obtener una mejor imagen.
¿Cuándo se puede realizar una mastografía?
El mejor momento para realizar la mastografía es una semana después del período menstrual.
¿Cómo presentarse al momento del estudio?
En EDE Satélite también contamos con Mastografía con ultrasonido: